Why Did No One Save Gabriel?
He was 8 years old, and the signs of abuse were obvious. Yet time and again, caseworkers from child-protective services failed to help him.
Updated on October 3, 2018
At the Los Angeles County Department of Children and Family Services, administrators had a well-worn routine they followed anytime a child died, or came close to dying, at the hands of a parent or guardian—something that typically happened at least a couple of times a month.
As soon as a call came in from a hospital, caseworkers would be dispatched to interview any surviving siblings and remove them from the home. Then administrators would go to work producing a confidential report and a set of reforms—measures that would allow them to claim they had taken steps to ensure that such a tragedy would never happen again. Until, of course, another one did.
On May 23, 2013, this grim assembly line paused at Greg Merritt’s cubicle in the Palmdale branch office. Merritt, who is 62, had worked in the department for more than two decades. He’d met his wife, Bonnie, there, and was considered one of the agency’s best supervisors. Some of Merritt’s colleagues were so ashamed of the department’s reputation that they avoided telling people what they did for a living. But Merritt was proud of his work, especially his efforts to keep together families that might otherwise be separated. He was a devout Christian, and to him this wasn’t just a job. It was a calling.
When Barbara Dallis, one of the department’s assistant regional administrators, showed up at Merritt’s desk that morning asking for the Gabriel Fernandez case file, he didn’t immediately understand that something terrible had happened. But as they rummaged through a pile of recently closed cases, Dallis explained that Gabriel, who was 8, had been severely abused and might die.
After they found the file and Dallis left, Merritt said a silent prayer for the boy. Then he turned back to his computer—“because,” he says, “life goes on, and I had work to do.” He’d concluded long ago that some of the children who depended on the department would inevitably be injured, if not killed. No one could protect them all—and he felt frustrated that both administrators and the public expected him to do the impossible.
Merritt couldn’t remember much about Gabriel, one of about 180 children whose cases he had been overseeing. All he knew was that Gabriel was old enough to be in school, which meant he had teachers who were required by law to report signs of abuse. As a general rule, caseworkers worry most about children who aren’t seen by people outside the home. The majority of children killed by their guardians are 3 or younger.
Merritt started going back through the notes on his computer, and saw that Gabriel’s first-grade teacher had, in fact, regularly called one of Merritt’s colleagues—a young caseworker named Stefanie Rodriguez—with disturbing reports. As he read on, Merritt learned that Gabriel had written suicide notes. But this didn’t strike Merritt as particularly unusual or alarming—he remembered a child even younger who had made actual suicide attempts.
He saw that a caseworker had used a computer program to score Gabriel’s likelihood of being abused. The program said Gabriel was at very high risk. But many of the children in his caseload had that designation. Despite the software’s assessment, Merritt had recently signed off on a request to close the case, satisfied that Gabriel was safe. He was supposed to read the entire file first, but he hadn’t gotten to it.
If Merritt and his colleagues had dug deeper, or simply paid closer attention to what they already knew, they might have uncovered the family’s secret: that Gabriel spent days and nights with a sock in his mouth, shoelaces knotted around his hands, a bandanna shrouding his face, handcuffs locking his ankles, trapped inside a cabinet in his mother’s bedroom. The family called it “the cubby.”

The fact that Gabriel’s suffering went unaddressed by the people charged with protecting him was a staggering failure of the Department of Children and Family Services. During the seven months when caseworkers were ostensibly watching over Gabriel, evidence of his abuse steadily accumulated. Yet time and again, they failed to intervene.
In a series of conversations over the past year, Merritt told me that for months he was so crippled by guilt and shame over his role in Gabriel’s case that he rarely left the house. But five years on, he believes he has the distance to see that he performed as well as anyone could have, under the circumstances. “I don’t think there’s anything else I could have done,” he told me, with the soft voice and slumped shoulders of a man whose fate is now in the hands of others.
This fall, Merritt and three of his colleagues will stand trial for criminal charges of falsifying records and child abuse, which carry up to 11 years in prison. If found guilty, they will be among the first caseworkers from a child-welfare agency to go to prison for their lapses on the job.
At the heart of the case is a question of accountability: Was their failure to protect Gabriel an isolated one—the fault of four employees so careless and neglectful that they allowed a child to suffer despite a series of glaring warning signs? Or was it a systemic one, the result of a department so ill-equipped to safeguard children that tragedies were bound to happen?
For Jennifer Garcia, the 2012–13 school year was off to a disappointing start. She’d spent the summer preparing to teach fourth grade at Palm Tree Elementary, in the high-desert town of Palmdale, north of Los Angeles. But in October, after classes were already under way, word came that the school district’s planning had once again failed to keep pace with Palmdale’s population boom. In just a few days, she would be teaching first grade in Room 5 at Summerwind Elementary, four miles away. Other teachers told her that Summerwind was one of the district’s nicest schools, but when Garcia looked around at the peeling paint and crumbling stucco, she thought, If this is the best we’ve got, we’re really in trouble.
Gabriel Fernandez joined the class even later, in mid-October, more than a month into the school year. He’d been living with his maternal grandparents, with whom he was close, but his mother, Pearl Fernandez, wanted Gabriel’s welfare benefits, so she brought him to live with her for the first time in his life, over his grandparents’ strenuous objections. Gabriel’s grandmother told two sheriff’s deputies that Pearl had a history of neglecting and abusing her children, but they didn’t believe her.
Gabriel moved in with his mother and her boyfriend, Isauro Aguirre, as well as two siblings: an 11-year-old brother named Ezequiel and a 9-year-old sister, Virginia. His new address meant a new school, too.
When Garcia first met the boy, in the school’s front office, she noticed that Pearl and Aguirre weren’t like the other first-grade parents, who hovered over their children, crouching down to guide them through introductions or to explain how to get lunch. Pearl and Aguirre asked no questions and offered no pleasantries. Garcia thought they seemed hardened and mean—possibly dangerous.
Gabriel, by contrast, had a striking innocence. He was hungry for Garcia’s attention and praise and would stay behind at recess to help her collate and staple papers. One day in late October, about two weeks after he’d started at school, Gabriel tugged on her side in the middle of class.
“Is it normal for moms to hit their kids?” he asked.
“Well, yeah,” she told him, recalling that she herself had been spanked as a child. “Let’s talk about this at recess.”
When recess came, he pressed on: “Is it normal for your mom to hit you with the part of the belt that has that metal thing on the end?”
“You mean the buckle?” Garcia asked.
“Yeah,” he said. “Is it normal for you to bleed?”
After school, Garcia called the county’s child-abuse hotline. The call, which was recorded, felt awkward and intimidating: Garcia was still relatively new to teaching and wasn’t sure whether this was the kind of thing she was supposed to report—she didn’t know Gabriel’s family and wondered whether she might be missing important context. Lots of people spank their kids, after all.

But when she told Steve Reid, the caseworker who answered, about the belt buckle and the blood, he said, “Okay. Let me stop you there. That would be reportable.” She also told Reid that during Red Ribbon Week, when teachers talked about staying away from narcotics, Gabriel had announced that cocaine was a drug. “You do it like this,” he said, holding his nostril as if he were snorting a line.
Reid took detailed notes, and Garcia soon received a phone call from Stefanie Rodriguez. She said she had been assigned to investigate and told Garcia to call her directly if she noticed anything suspicious in the future. Garcia felt reassured; the agency seemed to be taking the matter seriously.
A few days later, when Pearl Fernandez came in for a previously scheduled parent-teacher conference, Garcia propped the classroom door open, wary of being alone with her. Pearl sat quickly, fidgeting and rubbing her nose. As Garcia started reviewing Gabriel’s progress, his mother blurted, “I don’t hit my kids.”
The two 29-year-old women locked eyes in uneasy silence. “Oh, okay,” Garcia said finally, not knowing how else to cut the tension. She turned the conversation back to Gabriel. She told Pearl that he was a good writer and that he was smart, but Pearl seemed skeptical.
G
abriel was often tardy or absent, and when he did make it to school, he’d kick other students—Garcia was constantly having to move his seat. He rarely went outside during recess, and when he did, Garcia sometimes saw him alone on the playground, kicking a wall. Yet she also noticed that ideas came easily to Gabriel, and he seemed to gain a small measure of dominion over his surroundings with a pencil in hand. Once, when another student was struggling with a reading assignment, Gabriel jumped in to help her, pushing her to take another look and keeping her well after the other kids finished. Garcia cracked a smile as the girl’s eyes seemed to say, Get me out of here.
On Monday, November 26, Gabriel arrived late. When the other children turned to look at him, they laughed and pointed at what they saw: Someone had haphazardly taken chunks of hair from his head, and scabs had formed on his scalp. Gabriel froze. He whispered to Garcia that he didn’t know what to say when they asked what had happened. She coached him: My mom cut it like that. So what? Mind your own business. It became his mantra.
Garcia called the principal to the room to take a look at Gabriel’s head. But, as Garcia later recalled, before Gabriel drew near, the principal told him, “It’s okay, son. Have a seat.” Then he admonished her, “We don’t investigate. We just report what we see.” Garcia called Rodriguez and left messages on two different numbers the caseworker had given her.

Gabriel was absent the next day, and when he returned on Wednesday his hair was styled into a mohawk, which seemed normal enough. Still, Monday’s events nagged at Garcia. She decided to call Rodriguez again, and again got voicemail.
On Thursday, Gabriel arrived at school with a busted lip. Garcia asked what had happened. “My mom punched me in the mouth,” he said. Garcia called Rodriguez yet again. This time she reached her, and pressed her about what she was doing: How did Pearl Fernandez explain the injuries? The haircut? Rodriguez told her that confidentiality rules prevented her from saying.
As days passed, and then weeks, Gabriel’s situation only seemed to worsen. On walks, he lagged at the end of the line, saying that his arms and legs hurt. “Take your time,” Garcia told him. She’d sometimes find him crying at the end of the day, saying he didn’t want to go home.
Near the end of January, Garcia was reading to a group of students when the door opened. It was Gabriel. This time, the students didn’t laugh. They didn’t understand what they saw. Gabriel’s eyes were swollen, and squinty like a cat’s. Little round bruises dotted his face. Garcia told him to sit down. When she was finally alone with him at recess, she asked what had happened.
“I fell,” he said.
“I don’t believe you, Gabriel,” she said, noting that this was the first time he’d lied to her. She saw the anger swell inside him.
“It’s because my mom shot me in the face with a BB gun!”
“Okay.” She paused, not knowing what to say. “Why did you lie and tell me you fell?”
“When I tell you, and that lady comes, then I get hurt worse.”
Garcia called Rodriguez again, despite the odd sense of complicity she now felt after hearing that her efforts only made things worse. Again, information traveled in one direction: Rodriguez wouldn’t tell Garcia what she was doing to protect Gabriel, or whether she planned to remove him from his home.
Garcia didn’t know what to say to Gabriel. She didn’t want to tell him everything would be okay—that felt like it might not be true. Instead, she said the one thing she thought he could count on: “One day, you’re going to be 18. You’ll be able to move out.” The two of them paused for a moment, imagining what that might be like.
In 1962, the Journal of the American Medical Association published the results of the first national survey of hospitals about child abuse. The prevalence of bone fractures, brain bleeds, and other injuries linked to caregivers showed that beatings were a recurring aspect of family life in many homes. The term battered-child syndrome entered the national lexicon. The next year, California passed the first state law mandating that doctors report suspected child abuse and neglect. By 1967, all 50 states had such laws, and the list of professionals required to report abuse expanded to include teachers, coaches, counselors, and others.
Since then, the number of children removed from their home in any given year has risen or fallen according to pendulum swings in child-protective-services agencies, which have alternated between erring on the side of child safety and erring on the side of family preservation. Administrators admit that prioritizing one of these goals over the other is a false choice—they’re supposed to be able to protect children in danger without unnecessarily splitting up families. But doing so requires a highly trained workforce with the resources to carry out a thorough investigation in every case. Most agencies don’t have those resources. (In 2013, Los Angeles County had roughly 3,000 caseworkers and more than 200,000 calls to its child-abuse hotline.)
News coverage of child fatalities has often been a catalyst for a renewed focus on safety: When a child dies at the hands of a guardian, an outraged public will demand more proactive interventions to prevent such a tragedy. But the consequences of needlessly separating children from their parents, while less visible, can be devastating too. Advocates for family preservation have at times lamented that they lacked the kind of horror stories that could galvanize support for their position.
That changed in 2001, with the case of Logan Marr, a 5-year-old girl from Maine who’d been removed from her home by the state’s grossly interventionist child-protective-services agency. In a gruesome twist, Logan was placed in the custody of a former caseworker, who disciplined her by gagging her with duct tape and leaving her in the basement, where she died.
The case became the subject of a PBS documentary, and media attention made Logan a symbol of child-protective services’ overreach. The pendulum swung, and the United States saw a nearly 25 percent drop in the number of children in foster care from 2002 to 2012. Meanwhile, the rate of child abuse remained steady during that period; according to a Yale study, at least one out of eight American children will be abused by age 18.
In California, the downturn in foster care began even before Logan’s death, and was steeper than the national one. In 2003, the Los Angeles County board of supervisors selected a child-welfare administrator named David Sanders, who led an aggressive push to reduce the foster-care rolls. His aim, he says, was to develop ways to prevent abuse from occurring in the first place and, when foster care was necessary, to move children to safe, permanent homes more quickly. (During this period, foster care was in such short supply that DCFS routinely used a conference room to house children overnight.) In 2006, Sanders left the agency for the powerful Casey Family Programs, a $2.4 billion foundation that provides assistance to child-protective-services agencies nationwide. That same year, Casey declared a new central goal: to reduce the number of children in foster care by half by 2020.
Debates over child-protective services often scramble traditional political divisions, and Casey Family Programs, which has championed a number of progressive causes, had powerful political allies in religious conservatives, who pushed George W. Bush’s administration to limit government intrusion on parental authority. Casey and the Bush administration advocated for the Department of Health and Human Services to change the way child-protective-services agencies were funded. Whereas in the past, agencies had received an allocation based on the number of children who were in foster care, Los Angeles and certain other jurisdictions now received waivers that allowed them to keep the same level of funding even if foster-care rolls dropped. Any savings could be spent on programs aimed at keeping families intact. This created a financial incentive to reduce the use of foster care.
From 1998 to 2013, the number of kids in foster care in Los Angeles County fell from about 50,000 to 19,000. When Gabriel came to the agency’s attention, the chances of an abused child being placed in foster care were lower than they’d been in many years.
In DCFS’s Palmdale office, people liked to joke: “It’s not the end of the world, but you can see it from here.” High-ranking administrators from headquarters in Los Angeles rarely made the long drive through the hills and canyons up to this community on the edge of the Mojave Desert, where buzzards circle and dust storms penetrate homes with a layer of grit that no amount of vigilance can keep out.
For years, Greg Merritt would call headquarters for help on a case only to be told he’d reached the wrong office, because the person who answered didn’t know that Palmdale was in Los Angeles County. His loyalties were with his colleagues in the branch office, the ones who would gather for after-hours parties known as “howls,” where they’d “hoot and holler,” with bonfires and country music—a release valve for the stresses of a difficult job. “We did our own thing out there,” he told me.
Everyone in the office knew that Palmdale had its share of caseworkers whom no one would choose to look after endangered children. “You’d see people in the office that made you wonder, Wow, how did they get through the gates?” Merritt told me. “This one guy was talking to himself all the time.” Merritt assumed he was mentally ill.
But the Palmdale branch couldn’t afford to be picky. The area had seen an influx of poor families, and the number of calls to the child-abuse hotline was rising faster there than anywhere else in Southern California. Palmdale consistently ranked last on the list of places agency employees wanted to be. Management had to impose a ban on transfers out just to keep the branch staffed.
The least popular job in this least desirable place was also the most difficult and most important: child-abuse investigator. To fill it, the department required new recruits to start there—including Stefanie Rodriguez, who sat in a cubicle within earshot of Merritt. She was a 27-year-old newcomer with a bachelor’s degree in psychology and no academic credentials in social work. Her caseload included up to 40 children at a time.
After Jennifer Garcia called the hotline, it fell to Rodriguez to investigate and assess Gabriel’s safety. Her supervisor, Kevin Bom, a 33-year-old who was seen as a rising star in the department, would approve every key decision she made and sign off on all her reports. He had a master’s degree from the University of Southern California’s prestigious School of Social Work, and was known as a fastidious micromanager who marked up his subordinates’ notes with questions and corrections—all of which makes his handling of Gabriel’s case even more baffling.
A family’s prior history is one of the most reliable measures of the need for future intervention, and in the past 10 years, at least four hotline calls had been made alleging that Pearl Fernandez was neglecting or abusing her children. She had abandoned her youngest child, a daughter named Destiny, and lost custody of a son named Arnold Jr., who was a year older than Gabriel.
According to DCFS’s internal investigation, neither Rodriguez nor Bom reviewed the information related to these calls. Rodriguez never went to the school or talked to the neighbors. Nor did she ever interview Gabriel or his siblings alone, as is required by department policy because many children who fear additional abuse recant their stories if the perpetrator is present.
Such shallow inquiries were routine across Los Angeles County. In 2010, a department study showed that the evidence caseworkers gathered was often insufficient to accurately judge a situation. Children were interviewed alone in only two-thirds of cases. Social workers spoke, on average, with fewer than two witnesses—neighbors, friends, school officials, health-care providers—although the department’s policy required that they interview at least three. (This policy was changed in 2011, allowing social workers to use their professional judgment to determine how many witnesses were necessary.)
According to the case file, Rodriguez met Gabriel’s family in their second-floor apartment, which looked out on the back of a row of dollar stores, two days after Garcia’s first call to the hotline. With his mother nearby, Gabriel told Rodriguez that he’d made up the story about her hitting him with a belt buckle. Still, Rodriguez examined his body for marks and noted a bruise on his left buttocks. Pearl Fernandez admitted that she’d hit him with the belt.
Neither Rodriguez nor Bom thought the bruise warranted a doctor’s visit or Gabriel’s removal from the home, though they did ask Pearl and her boyfriend to undergo drug testing the next day, because of Garcia’s report that Gabriel had demonstrated how to snort cocaine. The results came back negative.
Three weeks later, on a Tuesday, Rodriguez returned for a follow-up visit. In her notes, she reported that she’d “observed the children to be appropriately dressed, visibly healthy, and did not have any marks or bruises.”
The following week, Garcia made multiple calls about Gabriel’s haircut and busted lip. Rodriguez visited the family’s apartment, but again Gabriel recanted. In her report, Rodriguez described the lesion on his lip as an “open blister.”
“I was biting myself,” Gabriel told her.
Rodriguez made one last visit, on January 29, 2013, after Garcia reported that Pearl Fernandez had shot Gabriel in the face with a BB gun. With Pearl again present, Gabriel said that the little bruises on his face had formed after he fell while playing tag with his brother and sister. Once again, Rodriguez and Bom decided not to remove him or order a medical exam. By then, she and Bom had already decided to end the investigation; they saw no signs of danger or abuse.
They would later become the second and third workers, after Merritt, to be charged with child abuse and falsification of records. Bom declined to comment for this article. In a short conversation, Rodriguez told me that during the time she supervised Gabriel’s welfare, other children in her caseload seemed to her to be in equal or greater danger.
B
efore caseworkers can close an investigation, the agency requires them to use a software program called Structured Decision Making to score a child’s risk of being abused or neglected. The program is rudimentary and has been criticized for miscalculating risk, but an internal study showed that it is significantly more reliable than caseworkers’ own determinations.
Rodriguez was able to answer the program’s multiple-choice questions based almost entirely on information that had been logged into the agency’s files before she began her investigation. Pearl Fernandez had a history of mental-health problems, which gave the family two points. The many prior hotline calls gave them five points. Pearl herself had suffered abuse as a child, giving the family another two points. In the end, it all added up to “very high risk,” meaning that the caseworkers had no choice but to “promote” the case for further attention.
Usually, promoting a case meant petitioning a judge to mandate services such as rent stipends or anger-management classes for parents, or seeking a judge’s approval to place the child in foster care. Instead, Rodriguez walked a few cubicles away to consult with a caseworker named Darlene Starr in the Family Preservation unit, a small team led by Greg Merritt.
Rodriguez recommended Gabriel for a program called Voluntary Family Maintenance, which was being used with thousands of families. It had expanded because of the funding changes instituted during the Bush administration.
The program allowed children to remain in the home while the family worked to resolve their issues. It was meant to be used for lower-risk cases, but a later review found that the department was taking chances on parents who would not have been eligible for family-preservation services had their cases reached the courts. Caseworkers were told to focus on “services versus surveillance” and to label a parent as being “in need of services/support” rather than as a “perpetrator.” The caseworkers and their supervisors would be the decision makers on any intervention—no judge would second-guess them, and no lawyers would be appointed to argue for the best interests of the children.
Merritt told me that he gravitated to Family Preservation because it aligned with his highest aspirations for his work. He said he wouldn’t hesitate to remove a child if he knew there to be true danger, but he also acknowledged that he recognized such situations less often than others did. He tended to see hope where others saw a lost cause.
But the program worried Philip Browning, who’d become the head of the Los Angeles County Department of Children and Family Services in 2011. He told me he winced whenever he read in child-death cases that his employees had interviewed a child with the alleged perpetrator nearby, or had halted their inquiry when a child recanted a claim of abuse. In his view, caseworkers should get more oversight, not less.
Browning believed the field of child-abuse prevention needed a set of reforms similar to those that had been introduced throughout the country to better address domestic violence of romantic partners—such as mandatory-arrest laws, which require police officers to arrest an alleged perpetrator whenever there is probable cause, regardless of the victim’s wishes, and “no drop” prosecution policies, which mandate the prosecution of domestic-violence perpetrators whether or not their victims want to press charges.
In Los Angeles County, a sheriff’s deputy is required to file a police report if the alleged victim of domestic abuse is a romantic partner. But a senior child-abuse prosecutor told me that if the victim is a child, a quick log entry will suffice. Likewise, detectives must forward allegations of romantic-partner abuse to prosecutors whether or not they recommend criminal charges. If the victim is a child, a detective can end the investigation with no review by prosecutors.
Browning was also troubled that many of the parenting classes and counseling services the department relied on to prevent abuse had little evidence to support their efficacy. But when he tried to institute more rigorous performance standards, representatives of the service providers—including many churches—filled the county board of supervisors’ large meeting room and gave hours of heated testimony. Afterward, Browning dropped his proposal.
D
arlene Starr, the worker who accepted Gabriel’s case into the Voluntary Family Maintenance program, was one of Greg Merritt’s closest confidantes at work. An unfiltered extrovert known as “Mama Starr,” she put Merritt, a stoic introvert, at ease.
When I first called Starr, in November, she quickly excused herself and got off the phone. But we spoke again later that day. She explained that hearing the name Gabriel Fernandez had sent her into a daze. “I got light-headed,” she said. “I could hardly walk. I drove around aimlessly for a while and lost track of time.”
Still, she agreed to let me interview her at her new home, on the edge of a golf course in California’s Coachella Valley desert. As we sat in her living room, she told me that working for Merritt had made the job tolerable; he always had her back, and would encourage her to take a lunch break or work from home when he sensed that the pressures of the job were getting to her.
“That’s why it’s so crushing to see him treated this way,” she said. Mistakes were inevitable when department leaders and county politicians gave workers so little support, she said. “We were on a desert island, and we were just sinking, sinking, sinking.”

Like Merritt, Starr is a devout Christian. She became a caseworker in her 50s, after spending much of her career as a counselor at the church where her husband was a pastor. She believed in the mission of the Family Preservation unit, and tried to see herself in the shoes of her adult clients and become more tolerant and understanding. “I probably would have lost my kids,” she said, “because I spanked them good. When I got to the department, instead of cheering the parent on for doing the right thing, they’d want us to take the kid away or tell the kid, ‘You’re right’ and ‘Your parents have no authority over you.’ ”
Starr said that Stefanie Rodriguez pleaded with her to take Gabriel’s case. She recalls Rodriguez saying that Pearl Fernandez had once spanked Gabriel harshly but did not present an immediate safety threat, and that both Pearl and Gabriel had issues. She was particularly concerned with Gabriel’s behavioral problems, but she saw Pearl’s apparent willingness to participate in the Voluntary Family Maintenance program as an encouraging sign.
“This seemed like the perfect case for us,” Starr told me. “I thought Gabriel would benefit.” So she agreed to accept his case rather than urging Rodriguez to take it to court—a decision that has haunted her ever since.
Unlike her colleagues, Starr never faced any administrative consequences or criminal charges. But the pressures of the job, she said, pushed her out anyway—she went on extended medical leave and eventually agreed to retire. “I still have nightmares. There’s hardly a night I don’t dream about the department,” she told me. “It’s destroyed a lot of lives. It destroyed my life.”
M
erritt’s team officially took over Gabriel’s case on February 1, not long after Jennifer Garcia had called to report the BB-gun marks on his face. Rodriguez and Bom could have checked a box on a form to mark the case as high priority, but they left it blank.
The Family Preservation unit would now be expected to send a caseworker to the Fernandez home every two weeks, and to supplement those visits with family and individual counseling sessions.
Merritt assigned supervision of Gabriel’s case to a member of his team named Pat Clement, who would become the fourth person from the agency to face criminal charges. (Clement declined to comment for this article.) Merritt told me she was “a little bit of a burnout case” but “good enough.” Others remember her less favorably. “She was a ticking time bomb,” Teresa Linn Stanley, a caseworker who once worked side by side with Clement, told me. “If you spent time with Pat, you just knew.”
Stanley and her colleagues often puzzled over the fact that Clement, 68, had been a Catholic nun. The woman they knew was profane, ill-tempered, and prone to yelling at clients. Like many others, she’d wanted out of Palmdale for a long time, and she often talked about the business ventures she hoped would finance her escape: a vending-machine enterprise, an RV park. Neither got far past the idea stage.
Merritt wasn’t blind to Clement’s shortcomings—he told me he’d once written a performance evaluation that scored her work as substandard, only to have his boss remove his criticisms and raise her score to “competent.” Under an agreement with the caseworkers’ union, managers were forbidden to fire, suspend, demote, or even write negative comments about any of their workers once certain caseload caps were reached—and the department routinely exceeded those caps.
Clement paid her first visit to Gabriel’s home on February 13, but her notes contain few details. She visited again two weeks later, and wrote that Pearl Fernandez described herself as the victim of a mother who never showed “any real love or positive feelings about her.” Clement noted that Pearl’s boyfriend, Isauro Aguirre, was “a very pleasant person.” Despite Gabriel’s steady absences, Clement wrote: “The children are attending school regularly and doing well.”
Soon after Clement’s first visit, Gabriel wrote several notes saying that he wanted to kill himself. One was addressed to his mother: “I love you so much that I will die.” His brother Ezequiel discovered these notes days later, and Pearl discussed them with the therapist assigned to the family, Carmen Le Norgant, on the night of February 27. When Le Norgant asked Gabriel whether he was serious, he stared blankly and said “Yes.” She informed Clement and Merritt, but they took no additional action. (Le Norgant also called 911. A police officer came to the home but left without talking to Gabriel.)
When Clement paid a third and final visit, on March 6, Pearl said she didn’t want to have any further involvement with the agency—and Clement accepted her decision. “It is this [worker’s] assessment that mother is overwhelmed with her own emotional pain, she is unwilling to continue counseling at this time,” Clement wrote. “There are no safety or risk’s [sic] to the children’s welfare at this time.” Her recommendation: “Close the case.”
County policy requires workers in Merritt’s position to read the entire file before approving a closure, but the department’s manual ran to 6,000 pages. The sheer number of rules caused many workers to consider them just suggestions that no human could ever fully absorb. Merritt told me that despite Clement’s weaknesses, he had to rely on her to be his eyes and ears, so he signed off on her recommendation without reading the file.
“I learned early on that if I’m gonna be any good to my clients, I have to take care of myself,” Merritt said. “When it was time to leave at 5 o’clock, I left, whether I had a mound of paperwork in my cubicle or not.” The job was hard, and one of the things that angered him most was when a subordinate worked unpaid hours.
O
n April 26, Pearl Fernandez was at the welfare office with her children when a security guard named Arturo Martinez recognized what the trained professionals had somehow failed to see: that Gabriel was the victim of extreme abuse, and urgently needed rescuing.
Pearl was yelling at him to sit, and Martinez told her to tone it down. When he looked at Gabriel, he saw cigarette burns all over the boy’s head and neck. His wrists had ligature marks, as if he’d been tied up.
Gabriel, he later testified, “turned around and made eye contact with me and I noticed he had a greenish-bluish eye—a black eye—and lumps on the back of his head. His skin was almost yellow, like he’s been starving or something.”
Gabriel’s eyes seemed to ask Martinez for help. But Pearl noticed Martinez studying her son and abruptly grabbed Gabriel and his siblings and left, blocking Martinez’s view of Gabriel on the way out.
Martinez approached the window where Pearl had been talking with a clerk, Maricela Corona, to ask whether she was going to report Pearl to the authorities. Corona said she wanted to help but was only filling in. He pressed, and she reluctantly went to ask a supervisor’s permission. She returned a few minutes later, saying she had been ordered not to get involved. Martinez called his own supervisor and was told the same: “That’s not your job. It’s not part of your duties.”
Martinez returned to his desk in disbelief. Finally, Corona slipped him the family’s name and contact information, urging Martinez to “save this kid.” He called the Department of Children and Family Services twice but got lost in the automated system and hung up. He called 911, but the operator said the situation didn’t sound like an emergency and gave him the number for nonemergencies. He felt brushed off, judged. “Like, ‘You ain’t got nothing else to do?’ ” he told me. “ ‘I mean, everybody beats their kids.’ ” He called the number for nonemergencies and was later told that a sheriff’s deputy had gone to Gabriel’s home but hadn’t seen anything wrong.
Martinez ultimately asked to be transferred to another office. He said he couldn’t work with people who had refused to help Gabriel.
A
t Summerwind Elementary, the weeks dragged on. Gabriel’s attendance was sporadic. Once, another boy complained that his mother had made him pancakes and he didn’t like them. Garcia was telling him he was lucky his mother loved him—not everyone had that—when Gabriel chimed in. “Right, Mrs. Garcia?” he asked, as if he needed confirmation.
Still, Gabriel seemed desperate to win his mother’s affection. He occasionally took books off the shelf, copied sentences in his own hand, and took them to Garcia. He asked her to put an A on the paper in the hope that his mother would be impressed. One day, he stole Garcia’s iPod and took it to his mom, trying to please her. Instead, she punished him by sending him to school in girl’s clothing the next day—a tiny pink shirt and tight polka-dot leggings. He walked into class with his head down. At recess someone lent him a baggy boy’s shirt to cover himself.
Garcia lost hope that DCFS would offer any rescue. On the rare days when Gabriel came to class, she told him to be good and never give his mother a reason to get angry. She emailed the school psychologist, hoping that Gabriel might be able to receive counseling. The psychologist replied that there were no services available and provided a brochure that Garcia could send to Gabriel’s mother on how to cope with behavioral problems. Garcia threw it in the trash in disgust and frustration.
In late April, Gabriel appeared in class looking worse than Garcia had ever seen him. One of his eyes was a deep red. Skin was peeling off his forehead. Other marks were scattered on his face, neck, and left ear. This time, Garcia didn’t ask what had happened. Instead, she asked Gabriel whether he really wanted to do that day’s assignment: making a Mother’s Day card. He did, and he labored over every detail. The card was shaped like a house and said “Open the door to see who loves you.” He pasted his picture inside. After school, Garcia made yet another call to Rodriguez. This time, the caseworker didn’t pick up or call back. Rodriguez made no entry in the case file to reflect the call.
A few days later, Gabriel complained to Garcia that his eye was hurting, so she sent him to Donna Evans, the school nurse, who was brand-new in the job. Gabriel told her he had fallen off his bike and begged her not to send him home early. Evans had no authority to make a diagnosis or mandate further medical attention, but she wrote detailed notes, thinking that child-protective-services caseworkers might inquire about the incident.
She then called Pearl Fernandez to pick Gabriel up. That was a mistake, the school secretary, Pam Howell, told Evans. She knew—as so many of the school’s staff members knew—that Gabriel was in danger at home.
B
y then, Gabriel’s siblings later testified, he was spending almost all of his days and nights in “the cubby.” Ezequiel said he sometimes tried to crack open the padlocked door to sneak Gabriel a banana. He said his mother and her boyfriend would threaten him if he didn’t join in their beatings. He’d whisper in Gabriel’s ear to fall to the ground quickly when he hit him.
On May 22, Pearl and Aguirre tortured Gabriel a final time. They turned to the tools they used regularly on him: a BB gun, pepper spray, coat hangers, and a wooden baseball bat.
Afterward, Pearl found Gabriel’s sister Virginia on the edge of her bed, where she’d sat frozen throughout the beating. The girl later said that her mother asked her to help soak up blood from the floor.
Pearl and Aguirre eventually called 911. Pearl told the operator that Gabriel wasn’t breathing, and Aguirre blamed the injuries on Gabriel’s roughhousing with Ezequiel. “I tried to feel his heart,” Aguirre said, “and nothing is moving.”
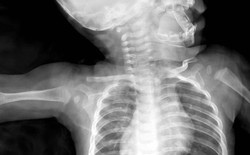
When the paramedics arrived, Ezequiel guided them wordlessly inside. The medics felt two fractures in Gabriel’s skull. He had broken ribs. Some of his teeth had been knocked out. BB pellets pockmarked his skin. Cigarette burns covered his feet and genitals. His neck had been stripped of a layer of skin. Cat feces had been forced down his throat.
T
he next day, the principal at Summerwind called Garcia into his office to tell her that Gabriel was dead. But then someone told her Gabriel was at Children’s Hospital Los Angeles, and she thought maybe there was still hope.
She called the hospital, asking if she could visit. “I just pictured him being alone,” she told me. “I wanted to go there and hold his hand and say, ‘You’re going to be okay. You survived. It’s over now.’ ” But the operator wouldn’t give her any information.
She later learned that Gabriel had been declared brain-dead by the time she’d called. Doctors took him off life support on May 24, 2013.

Back in her classroom, Garcia saw the Mother’s Day card on Gabriel’s desk. She remembered how hard he’d worked on it, even after she told him he didn’t have to.
When her students arrived, she braced herself to give them the news.
“His mommy,” she told them through tears, “hurt him really bad.”
“His mom?” they asked, their faces filled with the deepest horror she’d ever seen in children so young.
“They just couldn’t wrap their heads around it,” she told me.
T
he temperature outside was already in the 80s on the morning last fall when Ezequiel and Virginia testified in Isauro Aguirre’s murder trial. Inside, fluorescent bulbs threw a dull yellow light across the courtroom. On the wall behind the jury box, dark oily blotches had formed over the years behind the heads of countless weary jurors.
Ezequiel, who was now 16, had a faint mustache and a face shaped like Gabriel’s. In a blue suit and a rumpled white shirt, he slouched just above the microphone, rocking from side to side in a swivel chair as lawyers asked him about his brother. His testimony lasted hours; he was unable to recall many details and had to constantly refer to transcripts of prior testimony.
“Would it be fair to say that you don’t want to remember?” the prosecutor, Jon Hatami, asked at one point.
“Yes,” he said. “I just don’t want to remember it.”
By contrast, Virginia, 14, appeared unable to escape her memories. She delivered her testimony with plaintive wails and required frequent recesses to gather herself.
“Did he ever have to eat anything weird?” Hatami asked.
“He ate cat poop.”
“Did your mom make him do that?”
“Yes.”
“A lot or a little?”
“A lot.”
“Did he have to dance when they shot him with the BB gun?”
“Yes, they made him run around.”
“Was he trying to get away?”
“Yes.”
The jurors deliberated for five hours before finding Aguirre guilty of torture and murder. They recommended the death penalty. The next day, Pearl Fernandez’s attorneys proposed a deal to accept life in prison without the possibility of parole or appeal if the prosecution would agree to drop its push for the death penalty. Virginia and Ezequiel, who now live with a relative in another state, asked Hatami to accept her plea; they didn’t want to have to testify against her.
B
y the time Greg Merritt, Stefanie Rodriguez, Kevin Bom, and Pat Clement arrived for their own first day in court, on April 7, 2016, they were pariahs.
The announcement that they faced criminal charges had come as a shock. Almost three years had passed since Gabriel’s death, and many people had all but forgotten that a criminal review was under way. Browning, the head of the department, had referred the case to the district attorney’s office in the immediate aftermath of Gabriel’s death. But he told me he’d sent the information only to be thorough; he’d never expected anything to come of it.
All four of the caseworkers had been fired. Clement had filed for bankruptcy. Rodriguez had moved to a new city but couldn’t escape Gabriel’s story: Her picture had appeared on local TV and in the newspaper there. Bom had managed to start a new career as a custody evaluator in divorce cases, but he lost that job after the criminal charges were filed. Former colleagues told me he now mows lawns.
Merritt was on antidepressants, and he rarely left the house. He was able to find only sporadic work, stocking beer at the Antelope Valley Fairgrounds. His one solace was a men’s group at church, where he felt he was able to make his case to a higher power. “I live Coram Deo,” he said. “That means every day I live before the face of God, and that’s what keeps me sane.”

At a preliminary hearing to decide whether the case should go before a jury, the defense attorneys hammered at one question: Why were these four workers the only ones being punished? Others had witnessed the abuse, too.
Prosecutors had granted immunity to a caseworker and a therapist, in exchange for their testimony against Merritt and the other defendants. The therapist, a woman named Barbara Dixon who worked for an outside contractor, saw Gabriel often in the months leading up to his death and had grown concerned that he was being abused. But she said her boss had told her not to call the hotline, because he didn’t want to jeopardize Pearl’s cooperation with the Voluntary Family Maintenance program.
The defense lawyers presented a long list of others who could have helped Gabriel, too—police officers, school staff members, and people in the community. Merritt’s attorney even accused Gabriel’s teacher, Jennifer Garcia, of not doing enough to protect him, because she had followed Rodriguez’s instructions to call her directly when she had concerns. The law requires all reports to go through the hotline, the lawyer noted.
But Judge Mary Lou Villar was not persuaded. Each of the four defendants, she said, should have noticed that Gabriel was in danger and filed a petition for his removal from the home, or at least ordered a medical examination. They could have communicated with one another better, or pulled up the case history in the computer system. They could have properly documented Gabriel’s injuries. “Red flags were everywhere,” she said. They acted in a way that was “incompatible with the proper regard for human life.” Later this year, a jury will reach its own conclusions.
When the charges were announced, Browning made a statement describing Gabriel’s case as “an isolated incident” and describing the four defendants as outliers whose actions shouldn’t reflect on the department as a whole. “We processed them for discharge,” he said. “Then the department moved on.”
DCFS has since made some vital improvements: It has hired more than 1,000 additional caseworkers, provided staffers with much-needed smartphones, introduced new training methods, and tightened the standards for acceptance into the Voluntary Family Maintenance program.
But Browning, who left the department in 2017, acknowledged over email that these reforms could not guarantee that the department wouldn’t see another death like Gabriel’s. “As long as human beings are involved in the child welfare program there are possibilities for mistakes to occur,” he wrote.
Indeed, this summer a 10-year-old boy named Anthony Avalos was found unresponsive in his mother’s apartment in Lancaster, California, just north of Palmdale. Authorities later determined that his mother and her boyfriend had tortured him for at least five days. Multiple calls had been made to the child-abuse hotline, but a caseworker ended the investigation after Anthony recanted his claims of abuse. He died.
By the department’s own count, since Gabriel’s death, at least 143 children in Los Angeles County have died from abuse or neglect after having some prior history with DCFS.
L
ast September, I arranged a ride-along with caseworkers from the Palmdale office of the Department of Children and Family Services. I wondered to what extent Gabriel’s death and the criminal charges facing their former colleagues had affected how they approached their jobs. But the deputy director who oversees the region, Maryam Fatemi, told me she didn’t think the trial was on staffers’ minds, partly because the high churn rate meant that many of them had joined the department after Gabriel’s death.
She was right. People there told me over and over that they didn’t think about Gabriel’s case and didn’t even know much about it—they weren’t sure exactly what had happened or what mistakes had been made. The caseworker I shadowed was one of the new arrivals; she held the same job Stefanie Rodriguez had once had. She was impressive in many ways—deeply empathetic, very thorough—and had even been a foster child herself. But she, too, said she didn’t think about Gabriel’s case—that was “in the past.”
The caseworker told me she believes in her training. She trusts that if she stays grounded and listens to her instincts and follows the department’s rules and processes, she won’t ever need to confront the details of Gabriel’s case or another like it.


